|
日常生活中,因为饮食习惯等原因,胃病越来越普遍。胃酸过多是胃肠疾病常见病因之一。奥美拉唑被称为“抑酸神药”,从研发至今已有50多年悠久历史。也是各药房常见药物。它作为全球第一个质子泵抑制剂(PPI),被广泛用于胃及十二指肠溃疡,反流性食管炎等的治疗,效果显著。 随着时代的发展,药物的杂质控制以及要求越来越严格,菲罗门整理几个关于奥美拉唑以及其杂质的研究的案例,进一步助力科研分析者。
一、奥美拉唑的含量测定 方法:USP 色谱柱:Titank C8 5μm 150×4.6mm(货号:FMF-5556-EONU) 流动相: PH7.6磷酸氢二钠缓冲液 :乙腈=75:25 流速:0.8ml/min 进样体积:20μL(0.1mg/mL) 检测波长:280nm 温度:25℃
二、奥美拉唑钠有关物质 色谱柱 :SuperLu C8(2) 5um 250×4.6mm(货号:FMG-5249-EONU) 流动相:0.01mol/L 磷酸氢二钠溶液(用磷酸调节 pH 值至 7.6)-乙腈(75:25) 流速:1.0ml/min 进样体积:20μL 检测波长:280nm
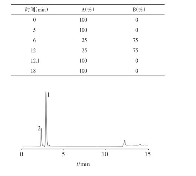
三、注射用奥美拉唑钠中EDTA-2Na·2H2O含量差异测定方法 (方法摘自于《天津药学》2022年34卷第6期) 色谱柱:Titank C18 250X4.6 5U (货号:FMG-5560-EONU) 流动相A: 0.5%磷酸二氢铵(用磷酸调pH至3.0) 流动相B:乙腈 波长:254nm ,流速 1ml/min,样量为 20μl,柱温30℃ 梯度如下
四、艾司奥美拉唑钠对映异构体的检测方法 2015年中国药典公布了艾司奥美拉唑钠原料中对映异构体的测定方法,采购AGP手性柱(α1-酸性糖蛋白键合硅胶柱)进行测定,但此款蛋白手柱存在价格高,重现性差,蛋白易变性损坏等不足。遂本法改用多糖衍生手性柱测定艾司奥美拉唑钠对映异构体,进一步优化,显著性降低成本,提高方法的稳定性,弥补AGP糖蛋白柱价格高,重现性差等不足。
以下方法摘自扬子江药业集团有限公司发明专利CN 112666304 A. 色谱柱:Chiral MZ(2)-RH 5u(货号:FMG-AC5-B02-R) 流动相:20mM NH4CO3溶液-乙腈-甲醇=50:30:20 体积比 流速0.8ml/min 波长:302nm ; 进样量 20ul
奥美拉唑(RT=15.692)与其对映异构体R-奥美拉唑(RT=22.912)分离度6.47且其它杂质均不干扰,R-奥美拉唑灵敏度在0.15ug/ml至1.17ug/ml范围呈现良好线性。 上述应用中所含产品订购信息: 方法一货号:FMF-5556-EONU 描述:Titank C8 5u 150×4.6mm 方法二货号:FMG-5249-EONU 描述:SuperLu C8(2) 5u 250x4.6mm 此柱建议用耐碱的Titank C8 5u 250*4.6mm(货号:FMG-5556-EONU)取代 方法三货号: FMG-5560-EONU 描述:Titank C18 5u 250X4.6mm 方法四货号:FMG-AC5-B02-R 描述:Chiral MZ(2)-RH 5u 250*4.6mm
特别说明:因为该品种在样本制备过程中用到强无机碱氢氧化钠,实际样品在进入色谱柱时,往往强碱性。所以很多在检测含量与有关物质时,C8柱经常因为不耐碱而不耐用。Titank C8柱的PH=1-12,且耐纯水。在众多相关项目检测的客户中,寿命评价都远高过其它同类色谱柱。 任何进一步了解,请随时致电020-22826668联系公司销售代表咨询。 |
- 上一篇:衍生法手性拆分磷霉素异构体的讨论研究
- 下一篇:左卡尼汀及其杂质以及手性异构体的分析

原文献可以参考:1006-5687(2022 )06-0001-04

